治療症例実績
600症例
以上
(※実績:2012~2022年)
経験豊富な歯科医師による
歯を長持ちさせる
精密根管治療
〒819-0379 福岡県福岡市西区北原1-55
九大学研都市駅 徒歩6分
治療症例実績
600症例
以上
(※実績:2012~2022年)
経験豊富な歯科医師による
歯を長持ちさせる
精密根管治療
〒819-0379 福岡県福岡市西区北原1-55
九大学研都市駅 徒歩6分
知識と経験豊富な歯科医師が
丁寧にご対応いたします
9:00~12:00 / 13:00~18:00
※土曜 9:00~13:00 休診:日曜・祝日
できるだけ
歯や神経を
抜きたくない
自分の歯を
長く残したい
歯の根の
治療を
繰り返している
他院で抜歯を
勧められた
過去に他院で
抜髄をした
日本顕微鏡歯科学会認定医による可能な限り歯を
抜かない精密治療
当院の院長は、マイクロスコープを使用した精密治療を得意としており、日本顕微鏡歯科学会認定医の資格を保有しています。他院で抜歯を勧められた場合でも、当院なら歯を抜かずに適切な治療をご案内できる可能性があります。
5台のチェア全てに
マイクロスコープを
導入しています
全国の歯科医院のうちマイクロスコープを導入している歯科医院は約10%と言われていますが、しっかりと使いこなせている歯科医師でないと結局のところ根管治療の成功率は変わりません。当院では、5台のチェア全てにマイクロスコープを導入しており、歯科医師だけでなく歯科衛生士においても認定資格を保有しています。これほどまでに、マイクロスコープを使いこなしている歯科医院は九州でも珍しく、精度の高い治療を行える自信があります。
神経を残す治療「VPT(バイタルパルプ
セラピー)」に対応
様々な設備・器具を使用した精密根管治療が可能
精密根管治療とは、通常の保険診療で行う根管治療とは異なり、自費診療で行う治療です。
根管治療は歯科治療の中でも難易度が高いと言われており、細菌を取り残したままにしておくと痛みや炎症が再発する恐れがあるため、高度な技術が必要な治療です。
当院ではこのような
設備を使用して
精密な治療を行います

マイクロスコープの使用
根管内は木の根っこのように入り組んでおり、患者さまお一人おひとり異なります。
歯の神経を全て取り除くためにも、暗くて狭い根管内を明るく照らし、肉眼の25倍の拡大で患部をしっかりと確認することができるマイクロスコープの使用が欠かせません。

ラバーダムの使用
唾液に含まれる細菌や、呼気による水分が治療部位の歯に付着してしまうと、再感染や脱離の原因になります。そこで当院では、口腔内と治療部位を分けるためのラバーダムシートを使用しています。このラバーダムは舌や歯肉も保護されるため、治療中の口腔内も快適に感じられます。

歯科用CTの使用
根管治療の際には、必ずレントゲンが必要になります。
通常のデンタルレントゲンに加えて、3次元で根管の状態が分かる歯科用CTを使用し、精度の高い診断と治療計画を立案します。これにより、歯根破折などの治らない状態も治療前に判断することができます。

ニッケルチタンファイルの
使用
根管内の感染部分を取り除く際には、ファイルと呼ばれる器具を使用します。通常の根管治療で使用しているステンレスのファイルは、複雑な根管内では機能しないことが多くあります。そこで当院では、柔軟性があり、複雑な根管内に対応できるニッケルチタンファイルを使用しています。
保険診療で行う
根管治療の成功率は、
アメリカと比較して
大きく差があり、30%~50%と
言われています
治療方法
の制限
保険
自費
使用する
設備・器具の制限
保険
自費
使用する
材料の制限
保険
自費
治療時間・回数
の制限
保険
自費
歯の機能回復を目指す歯根端切除術に対応
根管治療を長く続けても症状の改善や治癒が見られない場合は、外科的処置の1つである歯根端切除術を行うことが可能です。
歯の根の先端(根尖)と周囲の病変を同時に切除することで、細菌を全て取り除き、歯の機能の回復を目指します。
精度の高い支台築造を行い再治療のリスクを軽減
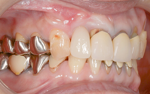
時間をかけて根管治療を行っても、その後の支台(土台)や被せ物がしっかりと作製されていないと再治療や抜歯につながってしまいます。支台築造とは、根管治療後の歯に土台をたてる重要な工程です。この土台には「メタルコア」や「ファイバーポスト」、「CRコア」などがあり、支台築造の精度は歯の寿命に大きく関わるため、この支台や被せ物から細菌が入り込まないように精密な支台築造・被せ物の作製を行っています。
下記のデータはアメリカで取られた根管治療の統計データです。高い精度の根管治療を行い、適切な被せ物の選択をして、しっかりと精密に被せることができれば、根管治療の成功率は90%を超えます。一方で、治療精度が低く、保険適用の銀歯などを使用すると、成功率は2割以下となってしまいます。
| 根管治療の精度 | 被せ物の精度 | 成功率 |
|---|---|---|
| 〇 高い精度 |
〇 自費の被せ物 |
91.4% |
| △ 中度の精度 |
〇 自費の被せ物 |
67.6% |
| 〇 高い精度 |
× 保険の被せ物 |
44.1% |
| × 低い精度 |
× 保険の被せ物 |
18.1% |
1回80分の時間をかけた丁寧で精度の
高い治療
根管治療は何度も繰り返せば繰り返す程、歯は脆くなり、治療は難しくなります。そのため、できるだけ少ない回数で治療を完了することが大切です。
当院では1回80分で治療を行い、再治療とならないよう、丁寧な治療を行っています。
知識と経験豊富な歯科医師が
丁寧にご対応いたします
9:00~12:00 / 13:00~18:00
※土曜 9:00~13:00 休診:日曜・祝日
できるだけ
歯や神経を
抜きたくない
自分の歯を
長く残したい
歯の根の
治療を
繰り返している
他院で抜歯を
勧められた
過去に他院で
抜髄をした
根管治療実績豊富な当院へ
ラストチャンスだと思って
お任せください
昭和歯科・矯正歯科 院長の木南 意澄(こみなみ いずみ)です。
私がマイクロスコープを導入したのが2012年12月。初めて根管をのぞいたときの衝撃は今でも忘れません。
「歯根の中って、こんなに汚れているんだ」根管治療の成功の鍵は『歯の中、根管の中の感染源をどれだけ除去できるか』です。その感染源がよく見えない状態で闇雲に治療しても、時間がかかるだけでなく、成功率が低いのは明らか。
そして、「見える」から「できる」になるまで、「できる」から「できた」になるまでも、多くの知識に裏付けされた経験を踏む必要があります。
マイクロスコープによる精密根管治療を始めて10年が過ぎました。今では5台の診療チェア全てにマイクロスコープを設置しており、歯科医師、歯科衛生士全員がほぼ全ての処置に使用しています。歯科医院全体で歯1本を全力で保存するミッションを共有しています。他院で治療ができないと匙を投げられた歯でも、ラストチャンスを期待してください。
1992年
新潟高等学校卒業
2000年
九州大学歯学部卒業
第1口腔外科に研修医で入局
2002年
第1口腔外科医員
2003年
昭和歯科医院勤務(現・昭和歯科・矯正歯科)
知識と経験豊富な歯科医師が
丁寧にご対応いたします
9:00~12:00 / 13:00~18:00
※土曜 9:00~13:00 休診:日曜・祝日
できるだけ
歯や神経を
抜きたくない
自分の歯を
長く残したい
歯の根の
治療を
繰り返している
他院で抜歯を
勧められた
過去に他院で
抜髄をした
根管治療
| 根管治療 | 前歯 | 110,000円 |
|---|---|---|
| 小臼歯 | 121,000円 | |
| 大臼歯 | 154,000円 | |
| 難症例の根管治療 | 前歯 | 132,000円 |
| 小臼歯 | 143,000円 | |
| 大臼歯 | 182,100円 | |
| 歯根端切除術 | 当院での 根管治療後の場合 |
80,000円 |
| 歯根端切除術のみ | 165,000円 |
※表示金額は全て税込です。
お支払方法
当院では現金のほか、クレジットカード、デンタルローンでのお支払いに対応しています。
現金
クレジットカード
デンタルローン
デンタルローンでの
お支払いについて
デンタルローンをご利用いただくことで患者さまの金銭的負担も少なく安心して治療を受けていただくことが可能です。デンタルローンを使用した場合でも医療費控除の対象となりますので、詳しくはスタッフまでご相談ください。
医療費控除制度について
生計を共にするご家族やご自身の病気やケガなどの事由で医療費の支払いがあった場合、確定申告によって一定金額の所得控除を受けることが可能です。年間の医療費の合計が10万円を超える場合が適用となります。
抜歯が必要な場合の対応
TOOTH EXTRACTION当院では、可能な限り患者さまの大切な歯を残す努力をしていますが、
歯根破折やパーフォレイション、ファイル破折など予後不良の根管治療をした場合には、
やむを得ず抜歯という判断になる可能性もございますので事前にご了承いただけますと幸いです。
※パーフォレイションとは、穿孔・根管と異なる部分に誤って穴が開いている状態のこと
抜歯の判断となった場合でも
ご安心ください
インプラントによる保証制度を
ご用意しています
やむを得ない理由により抜歯という判断になった場合でもご安心いただけるように、
当院ではインプラントによる保証制度をご用意しております。
抜歯後に、根管治療とインプラント治療の差額分の費用をお支払いいただくことで、インプラント治療を行うことが可能です。
保証制度を利用する場合の
シミュレーション
お支払い済みの根管治療の費用と、
インプラント治療に必要な費用の差額分をお支払いいただきます。
根管治療
87,450円
インプラント治療
503,800円
差額費用
416,350円
上記内容の場合、差額費用とし416,350円を追加でお支払いいただくことで
インプラントによる治療が可能となります。
※表示金額は全て税込です。
知識と経験豊富な歯科医師が
丁寧にご対応いたします
9:00~12:00 / 13:00~18:00
※土曜 9:00~13:00 休診:日曜・祝日
できるだけ
歯や神経を
抜きたくない
自分の歯を
長く残したい
歯の根の
治療を
繰り返している
他院で抜歯を
勧められた
過去に他院で
抜髄をした

〒819-0379 福岡県福岡市西区北原1-55
| 診療時間 | 月 | 火 | 水 | 木 | 金 | 土 | 日 | 祝 |
|---|---|---|---|---|---|---|---|---|
| 9:00~12:00 | ● | ● | ● | ● | ● | ▲ | / | / |
| 13:00~18:00 | ● | ● | ● | ● | ● | / | / | / |
▲:9:00~13:00 休診日:土曜午後、日曜・祝日
治療はどのくらいかかりますか?
患者さまの根管の状態によって異なりますが、1回~3回の通院で治療は終了します。
1回の治療時間は80分です。
他院で抜歯と言われた歯でも残すことは可能ですか?
「必ず残せます」とお伝えすることはできませんが、根管の状態によって残すことができる場合があります。
保険の根管治療と自費の根管治療の違いは何ですか?
保険診療の場合は治療の制限があり、使用する器具や材料、治療時間、通院回数に違いがあります。
自費診療の場合は、患者さまに合わせた器具・材料で治療を行うことができます。
精密根管治療を行えば、一生歯を残すことはできますか?
一度歯の神経を取ってしまうと歯に栄養が届かなくなってしまうため、経年劣化による破折のリスクがあります。しかし、精密根管治療を行うことで再治療のリスクを軽減することができ、より長くご自身の歯を使用していただけます。